The natural crystalline lens of the eye helps to focus light rays onto the retina for a clear image, just like the lens of a camera. Any opacification in the clear, natural lens is called a cataract, and when significant, can substantially affect visual quality. This usually calls for a surgical intervention, except when the opacity is insignificant or away from the center. There is no known medical (non-surgical) cure for cataract.
- Eye with Cataract
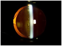
- Blue Dot Cataract as seen through Slit Lamp Biomicroscope
- Dilated Eye with Cataract
- Cunieform Cataract
- Developmental Cataract
- Posterior Polar Cataract
- Traumatic Cataract
Cataract formation is largely an ageing process and generally develops in the older age-group of patients. However, cataracts can develop in babies and young people too, either due to congenital reasons or following trauma to the eye, prolonged inflammation (such as uveitis), following metabolic disturbances in the body, or the intake of certain medicines such as corticosteroids for a long time.
A person who has been diagnosed with cataract can recover vision only after cataract surgery. During cataract surgery, the opacified lens is removed with the aid of a phacoemulsifier and an intra ocular lens (IOL) is inserted into the empty space that is thus created. Intraocular lenses are made from a variety of materials such as Acrylic, PMMA, Silicon, Hydrogel, HEMA etc. The type, design and power of the lens to be used is decided by the eye surgeon after an extensive evaluation.
IOL implantation is performed under the operating microscope. The technique requires precision and expertise.
Cataract surgery with IOL implantation can be performed under topical anesthesia (‘eye-drops only’), local or general anesthesia.
There are currently two basic types of implants available in the market: those that have a single power, called monofocal IOLs, and those that have distance as well as near powers incorporated in the lens, called multifocal IOLs. Monofocal IOLs can be set for distance vision (preferred in most patients, and the person uses a pair of reading glasses for near work) or for near vision, whereas multifocal IOLs give the patient the benefit of both distance and near vision, reducing their dependence on glasses. Monofocal IOLs now also have the capacity to neutralize astigmatism of a moderate degree (‘Toric IOLs’). Another type of IOL is the ‘accommodative’ IOL, which tries to focus near and distance objects.
The pre op evaluation is important with regards to the visual outcome of surgery: it detects any abnormalities in the cornea, lens or retina, so that proper precautions can be taken to achieve an uneventful surgery and have a smooth post operative recovery.
It includes certain tests like the evaluation of the eye pressure, IOL power calculation, ultrasound of the eye to measure its size, non-contact biometry, fundus (retinal) examination, diabetes and blood pressure assessment, ECG etc. In case a patient is found to have a raised blood sugar level, he / she is advised control of the blood sugar level prior to surgery. A similar protocol is followed for high blood pressure, any eye infections or any cardiac abnormality, and treatment initiated before cataract surgery.
The patient is investigated for systemic conditions such as Diabetes, High Blood Pressure, Coronary Artery Diseases, Bronchitis and asthma, Prostatic problems and any infective focus in the body. All uncontrolled aspects of these conditions are treated prior to surgery.
Both eyes are thoroughly examined. Conjunctival cultures for the presence of pathogenic bacteria are taken. The Cornea and lens is evaluated for aberrations and Dysfunctional Lens Index (DLI) by iTRACE machine. The corneal endothelium (by specular microscopy), pupillary dilatation, lens hardness and density and the ‘red reflex’ are examined. The fundus is assessed for macular degeneration by slit lamp biomicroscopy and by Macular OCT, peripheral retinal disorders (Indirect ophthalmoscopy, where possible) and the visual result prognosticated (Retinal interferometry). Corneal curvature measurements (Autokeratometry) and Axial biometry (Ultrasonography A-Scan) are done and the IOL power calculated (using IOL Master Technology) and given by various formula.
Phacoemulsification is a process in which high-frequency sound vibrations (ultrasound) are used to soften and liquefy the lens so it can be aspirated through a needle like probe. Phaco Cataract removal has become very popular, precise and short in time and most liked by the patient and the doctor.
The advantages of phacoemulsification include the following:
- Smaller incision site.
- Quick healing
- Earlier rehabilitation of patient
- Clear vision the very next morning.
- No Stitches.
- Lower chance of infection.
- Greater sharpness of vision.

Phacoemulsification cataract surgery is usually stitch less surgery performed under topical anesthesia (no injection technique) with foldable IOL implantation.
Most people who undergo cataract surgery are treated as outpatients and can go home the same day. During the early stages of recovery, patients need to take special care to avoid strenuous physical activity.
Sometimes people whose cataract surgery was performed by the extra capsular method develop a problem called “after-cataract.” After the operation, the back part of the lens capsule left in the eye may become cloudy and interfere with passage of light to the retina.
The cloudy material must be cleared away, if possible, so that full vision can be restored. Ophthalmologists often treat after-cataract with an ophthalmic laser called the neodymium-YAG or “cold” laser. When this procedure is successful, the patient’s vision is instantly restored.
Certain people may not benefit much even after cataract surgery. They include people whose cataracts are hyper mature with Glaucoma and whose vision is impaired by another eye disease as well.
In summary, each cataract patient should discuss the possibility of surgery with the doctor who examines his or her eyes to determine whether the potential benefits of cataract surgery outweigh the risks. It is also very important to decide in advance, with the help of the doctor, what form of substitute lens would be most suitable.
- Monofocal Intra Ocular Lens (helps seeing for distance only)
- Multi Focal Intra Ocular Lens (helps seeing both distance & near)
- Toric Intra Ocular Lens (helps to correct astigmatism)
IOLs are clear plastic lenses that are implanted in the eye during the cataract operation. Lens implants have certain advantages. They usually eliminate or minimize the problems with image size, side vision, and depth perception as compared to the people who wear cataract eyeglasses. Also, because lens implants remain in the eye and do not have to be removed, cleaned, and reinserted, they are more convenient than contact lenses.




